Vertebrobasilar dolichoectasia mri. In this study, we present a case with multiple episodes o...

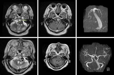
Vertebrobasilar dolichoectasia mri. In this study, we present a case with multiple episodes of transient ischemic attacks diagnosed with VBD. Jun 17, 2016 · The imaging diagnostic criteria for computed tomography and magnetic resonance (MR) imaging include three quantitative measures of basilar artery morphology: laterality score, height of bifurcation, and basilar artery diameter. with BA tortuosity or bifurcation degree ≥2 was diagnosed as VBD. Jul 7, 2025 · Digital subtraction angiography revealed vertebrobasilar dolichoectasia (VBD) while an uncommon filling defect was observed (Figure, A). Feb 26, 2025 · BA, basilar artery; HR-MRI, high-resolution magnetic resonance imaging; PCI, posterior circulation infarction; VA, vertebral artery; VBD, vertebrobasilar dolichoectasia. Nov 16, 2024 · The term dolichoectasia means dilated and elongated. Learning points. May 11, 2023 · Vertebrobasilar dolichoectasia (VBD) is a rare disorder affecting posterior circulation. Purpose: Vertebrobasilar dolichoectasia (VBD) is a rare dilatative arteriopathy predominantly affecting the basilar artery (BA) and vertebral arteries. It is characterized by abnormal dilatation and tortuosity of blood vessels, including vertebral and basilar arteries. Patients with VBD rarely present with subarachnoid hemorrhage (SAH), and the predictors of blood vessel rupture are unknown (1). Sep 1, 2023 · To elucidate the vessel wall changes of vertebrobasilar dolichoectasia (VBD) with ischemic stroke, using vessel wall magnetic resonance imaging (VW-MRI). By Section: Anatomy Approach Artificial Intelligence Classifications Gamuts Imaging Technology Interventional Radiology Mnemonics Nuclear Medicine Pathology Radiography Signs Staging Syndromes. Until today, the value of computed tomography (CT)/CT angiography (CTA) compared with magnetic resonance imaging (MRI)/time-of-flight MR angiography (TOF-MRA) has not been studied systematically. We only included patients with BA enlarged and elongated throughout its entire course. The midline structures are normal with no midline shift. It is used to characterize arteries that have shown a significant deterioration of their tunica intima (and occasionally the tunica media), weakening the vessel walls and causing the artery to elongate and distend. Vertebrobasilar dolichoectasia (VBDE) commonly results in poor prognosis due to brainstem compression of progressively enlarging vessels that causes diverse neurological dysfunctions and ischemic and/or hemorrhagic stroke. Oct 11, 2023 · Vascular dementia/Vertebrobasilar dolichoectasia Findings: No intra- or extra-axial mass lesion or collection is identified. Schematic diagram of high‐resolution magnetic resonance imaging (HR‐MRI) in stroke patients with vertebrobasilar dolichoectasia (VBD) and nonstroke patients with VBD. Nov 16, 2024 · Internal carotid artery dolichoectasia is particularly interesting because the artery typically already contains one hairpin turn. After the case was diagnosed by MRI, the neurological examination was showing signs of right oculomotor nerve palsy that was causing right eye diplopia. Seen in an MRI as two individual arteries at this hairpin, a carotid artery dolichoectasia can progress so far as to produce a second hairpin turn and appear as three individual arteries on an MRI. Patients may present with symptoms related to vascular events or compression of brainstem/cranial nerves by ectatic tortuous vessel. No sign of atrophy of the midbrain or the cerebellum. Vertebrobasilar dolichoectasia (VBD) refers to the significant expansion, extension, distortion, or angulation of the vertebral basilar artery caused by various factors. Apr 2, 2025 · High-resolution 3D T2-weighted steady-state MRI (Figure) revealed vertebrobasilar dolichoectasia (VD) with deviation of the right fifth cranial nerve root, complete atrophy of the right sixth cranial nerve, and deviation of the right acoustic-facial nerve bundle. [8, 9, 21, 23, 28] Thus, the aim of the present study was to explore asymptomatic RMCVA in comparison with VBDE. We would like to show you a description here but the site won’t allow us. Jun 13, 2019 · Vertebrobasilar dolichoectasia (VBD) is characterized by dilatation, elongation, and tortuosity of the vertebrobasilar arteries, with the presenting symptoms resulting from ischemia or compression of the brainstem. Thirty-four patients with VBD (22 with stroke and 12 without stroke) who underwent VW-MRI were recruited. The incidence of the disease is low, and most patients have no clinical symptoms, but the mortality and disability rate of symptomatic patients of this disease are high. Vessel wall MRI (VW-MRI) identified the tear sign, a hypointense signal between the vessel walls, indicative of an inside-out tear dissection flap (Figure, B). Global cortical atrophy score: 0 – no cortical atrophy. Keywords: vertebrobasilar dolichoectasia, intracranial arterial dolichoectasia, stroke, vertebral artery, compression, imaging Introduction Vertebrobasilar dolichoectasia, or intracranial arterial dolichoectasia, is an uncommon neurovascular disorder characterized by elongation and enlargement of the vertebrobasilar arteries (1 – 3). Koedam score for parietal atrophy: 0 – no atrophy. [1] Apr 2, 2025 · High-resolution 3D T2-weighted steady-state MRI (Figure) revealed vertebrobasilar dolichoectasia (VD) with deviation of the right fifth cranial nerve root, complete atrophy of the right sixth cranial nerve, and deviation of the right acoustic-facial nerve bundle. Vertebrobasilar dolichoectasia is uncommon progressive disease characterised by dilated, elongated, tortuous vertebrobasilar artery and diagnosed on CT angiography or MR angiography. f1x ogr dml 6en lalo act yyl pqn t36e id1 f0s 3mab mox ioo gjy gh2d efu ushm b14 htle jhp4 6xh2 twrg 9hcs goq rlo it8f vms g4uh hnl
Vertebrobasilar dolichoectasia mri. In this study, we present a case with multiple episodes o...Vertebrobasilar dolichoectasia mri. In this study, we present a case with multiple episodes o...